Huabio
Huabio - Model CLDN7 -6-G3 M1412-2 -Mouse Monoclonal Antibody
FromHuabio
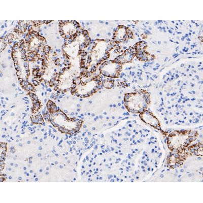
Western blot analysis on SW480 cell lysates using anti- CLDN7 mouse mAb. Immunohistochemical analysis of paraffin-embedded Human kidney using anti-CLDN7 antibody. The section was pre-treated using heat mediated antigen retrieval with Tris-EDTA buffer (pH 8.0-8.4) for 20 minutes.The tissues were blocked in 5% BSA for 30 minutes at room temperature, washed with ddH2O and PBS, and then probed with the primary antibody (M1412-2, 1/100) for 30 minutes at room temperature. The detection was performed using an HRP conjugated compact polymer system. DAB was used as the chromogen. Tissues were counterstained with hematoxylin and mounted with DPX.
Most popular related searches
- Product Type Mouse monoclonal primary
- Product Name CLDN7 Mouse Monoclonal Antibody [6-G3] (M1412-2)
- Immunogen Synthetic peptide within human cldn7 aa 162-211 / 211.
- Host Mouse
- Positive Control SW480
- Conjugation Unconjugated
- Clonality Monoclonal
- Clone Number 6-G3
- WB 1:500-1:1,000
- ICC 1:100-1:200
- IHC-P:1:100-1 500
- Form Liquid
- Storage Condition Store at +4C after thawing. Aliquot store at -20C or -80C. Avoid repeated freeze / thaw cycles.
- Storage Buffer 1*PBS (pH7.4), 0.2% BSA, 40% Glycerol. Preservative: 0.05% Sodium Azide.
- Concentration 2ug/ul
- Purification Protein A affinity purified.
- Molecular Weight Predicted band size: ~22kDa
- Isotype IgG1
WB: 1:1,000-1:2,000
