- Home
- Companies
- Garden State Laboratories, Inc
- Products
- Photomicroscopy/Photomicrography for ...
Photomicroscopy/Photomicrography for Bacteriological and Chemical Testing
Photomicroscopy is the art and science of taking photographs using a microscope to visualize an unseen world. Photomicroscopy is also known as photomicrography. Utilizing the latest in digital imaging technology, Garden State Laboratories, Inc. captures photomicrographs of microorganisms, such as bacteria and fungi, as well as particles.
With our ability to stream the microscope`s image to you over the Internet in real time, you can "look over the microscopist`s shoulder" to see what we see. Yes, you can even see us focus in on the sample!
Photomicrographs can be imaged utilizing brightfield, phase contrast and polarized light microscopy.
In addition, macro (life size) photography can be performed to provide a clear understanding of the appearance and condition of a sample.
We use Nikon digital imaging equipment, such as the state of the art DXM1200F microscope camera, and the new D2X camera, both capable of producing 12 megapixel photomicrographs.
Usually performed at the request of clients who require visual documentation, Garden State Labs can photograph at magnifications of up to 1000x. Garden State Labs also produces, in house, its own color and black and white prints in a variety of sizes up to 13" x 19". Streaming video requires the use of a broadband Internet connection.
Here are some examples;
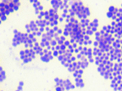
The Gram Stain is one of the classical tests to categorize bacteria. Gram Positive bacteria stain blue. Here is a photomicrograph taken at Garden State Labs of Staphylococcus aureus, a gram positive cocci or sphere shaped bacteria;

Gram Negative bacteria stain red, as shown in this photomicrograph of Escherichia coli, a gram negative rod shaped organism;

This photomicrograph shows mold spores and hyphae (hair-like structures) without staining.

