SpinTech, Inc.
- Home
- Companies
- SpinTech, Inc.
- Products
- Discover STAGE - Model T1, T2, SWI - ...
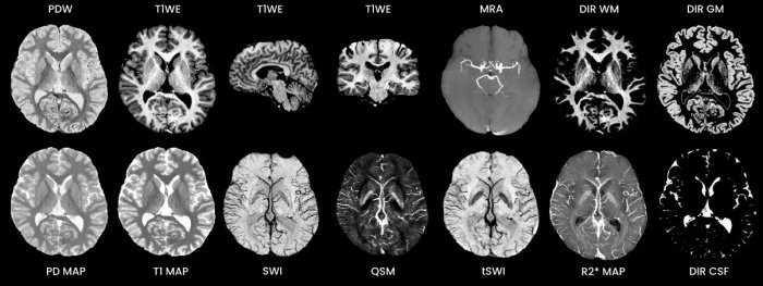
Discover STAGE - Model T1, T2, SWI -Rapid, Quantitative, Comprehensive Brain Imaging
FromSpinTech, Inc.
Reduce time for MRI brain protocols by ~30% while improving image clarity.
Most popular related searches





Data you can trust.
Powered by the physics of MRI…not AI.
- 5-minute acquisition at 3T.
- Fully sampled, 3D data.

