- Home
- Companies
Refine by
Industries served
- Energy
- Water and Wastewater
- Medical / Health Care
- Monitoring and Testing
- Agriculture
- Environmental
- Waste and Recycling
- Manufacturing, Other
- Air and Climate
- Oil, Gas & Refineries
- Chemical & Pharmaceuticals
- Soil and Groundwater
- Electronics and Computers
- Food and Beverage
- Construction & Construction Materials
- Mining
- Health and Safety
- Metal
- Automobile & Ground Transport
- Maritime/Shipbuild/Water Transport
- Aerospace & Air Transport
- Plastics & Resins
- Government
- University / Academia / Research
- Defense
- Communications / Telecom / Datacom
- Commercial
- Pulp & Paper
- Logistics
- Packaging
- Textile
- Forestry & Wood
- Real Estate
- Glassware
- Paint
- Printing
- Furniture
- Dry Cleaning
- Leather & Tanning
- Banking & Finance / Insurance / Legal
- Travel & Leisure
- Domestic
- Retail
Environmental Industry Technology
1,614 companies found
Premium
Technologybased inRignano S.Arno (Firenze), ITALY
C&G Evaporator is the leading company in the design and production of vacuum evaporators. Water is life, and far too precious a resource to be wasted. We know this well at C&G Evaporator, which is why we create solutions capable of significantly ...
This allows a controlled temperature to be obtained in a plating bath or other aqueous solutions, both in hot seasons when this tends to heat up, and in cold seasons when the opposite effect occurs. This unit allows you to work under any ...
Technologybased inWoburn, MASSACHUSETTS (USA)
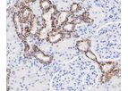
Founded in 2007, HUABIO is dedicated to developing curated, high-quality antibodies that advance innovation. We're passionate about the accuracy, efficiency, and consistency of our products. We devote our company mission to the disruption of an ...
Western blot analysis on SW480 cell lysates using anti- CLDN7 mouse mAb. Immunohistochemical analysis of paraffin-embedded Human kidney using anti-CLDN7 antibody. The section was pre-treated using heat mediated antigen retrieval with Tris-EDTA ...
Technologybased inSheffield, UNITED KINGDOM
With more than 25 years’ experience delivering rail depot and workshop safety technology, Zonegreen has established an unrivalled reputation for quality, safety and reliability. Zonegreen is part of the Sentric group, which consists of three ...
Designed to increase railway depot and workshop safety, the Zonegreen Points Converter allows the automation and remote operation of manual hand points, switches and rail road crossings. ...
Technologybased inKraków, POLAND
We want to be the world's best agricultural weather app. We provide the most valuable and useful information for farmers, in a way that makes you simply have to use it. Avoid crop losses and increase your yields with effective weather forecasts and ...
Technologybased inHo Chi Minh, VIETNAM
Creating and maintaining a balance and harmony between the ecological environment and the development of businesses in particular and the community in general is an essential foundation to ensure long-term survival and sustainable development. ...
Wastewater generated from human activities (domestic wastewater) and production and business activities of enterprises and factories (industrial wastewater) is one of the environmental problems. always cared and focused. Wastewater treatment is the ...
Technologybased inVelserbroek, NETHERLANDS
PWNT is wholly owned by Nijhuis Saur Industries (NSI). Through its inception as a daughter of PWN it valorized the utilities’ 100 years of experience to develop innovative technologies. Now as a subsidiary of NSI, it is in an improved position to ...
PWNT provides consulting services on the study, design, optimisation and integration of water treatment technology. Over the past 95 years PWN has performed most of its own studies, engineering and optimisation of its own ...
Technologybased inEindhoven, NETHERLANDS
Xeltis is a clinical-stage medical device company pioneering a restorative approach in cardiovascular therapy. RestoreX™, Xeltis technology platform, is the world’s first polymer-based technology designed to enable natural restoration of ...
Technologybased inLopik, NETHERLANDS
Gpi Tanks XL constructs stainless steel tanks. We take care of the whole process from start to finish, beginning with design by our own engineers, followed by production, transport and installation. At our XL production location, we construct tanks ...
One or multiple XL tank(s) constructed on site, Carried out efficiently with our proprietary coil building system (one tank at a time), When transport or installation on site is difficult or impossible. How does single tank on site work? ...
Technologybased inBoise, IDAHO (USA)
Innvictis® gives growers a complete approach to crop management. Our team works closely with Simplot Grower Solutions Crop Advisors and growers to create unique, easy-to-use products and solutions backed by data and results. We prioritize innovation ...
Technologybased inARNHEM, NETHERLANDS
Nedstack is a leading player in the PEM fuel cell industry with a strategic focus and unique trackrecord on the high power and mission critical domain. A leader in mission-critical high-power PEM fuel cell solutions. With 20 years of fuel cell ...
Plant owners can rely on our monitoring & control service for remote monitoring, helpdesk & support services and performance reporting. Remote Monitoring & Control @ Our Nedstack PemCare Services. Wihtin PemCare, we support clients ...
Technologybased inSnellville, GEORGIA (US) (USA)
The HydraSleeve 'No-Purge' groundwater sampler can cut field sampling cost and your carbon footprint by 50 to 80%! The HydraSleeve makes groundwater sampling a simple, three-step operation that is more effective than bailers, passive diffusion bags, ...
Solid stainless steel weight attaches to the bottom of a standard HydraSleeve no-purge sampler. Solid stainless steel weight attaches to the bottom of a standard HydraSleeve no-purge sampler. Can also be used as the guiding bottom weight for any top ...
Technologybased inSan Diego, CALIFORNIA (USA)
Tempo develops materials that are immune stealth, minimally invasive, and precision engineered for regenerative medicine. We give power to regenerative medicine, providing materials that evade the typical host immune rejection response to build ...
Technologybased inKolkatta, INDIA
Maple Orgtech (India) Limited, forms the part of M.M. Group of Companies having its Head Office at Kolkata, West Bengal. We are the only company responsible for manufacturing and marketing EM (Effective Microorganisms) Technology in India under an ...
TOXICARE is safe , rapid acting pond cleaner and toxin ...
Technologybased inEmeryville, CALIFORNIA (USA)
Ansa Biotechnologies is developing a new way to make DNA that will be faster, cleaner, and more accurate than existing methods. Currently, DNA is manufactured via a chemical method that has remained mostly unchanged for 35 years. Our enzyme-based ...
Technologybased inFlamatt, SWITZERLAND
As a trailblazing, leading tech company in radio frequency and x-ray technology, we make a growing contribution to a safer and more secure, more efficient and sustainable world of manufacturing, communication and mobility. For our customers in the ...
The CA20 is designed to deliver superior 2D & 3D images in the highest resolution, it allows the fastest inspection of micron-sized details - and helps cut time to market for complex 3D ICs. The semiconductor sector is a speed-driven industry. In ...
Technologybased inDidcot, UNITED KINGDOM
Rezatec’s Geospatial AI platform empowers business leaders to dynamically manage their ground-based assets and mission critical infrastructure – at scale. This means they can prioritize investment in the right place at the right time, boost the ...
Track the effects of land use on water quality across wide watersheds. Proactively manage upstream pollution risks to reduce the requirement for costly downstream treatment. Remote. Cost-effective. Scalable. Water Quality empowers water utilities ...
Technologybased inGelnhausen, GERMANY
Founded in 2004, after previous experience as an engineering office, IGS Anlagentechnik GmbH & Co. KG has been successfully operating for over 15 years in the design, manufacture, supply and operation of air pollution control systems for a wide ...
Plant engineering and service from a single source. Service means much more than just the maintenance of your machines and systems. Modern production processes more than ever require reliable and trouble-free operation of all components. This ...
Technologybased inRovigo, ITALY
DEPUR PADANA ACQUE was founded in 1972, and from the very on-set the company began designing and building ‘chemical-physical’ and ‘biological’ purification plants for the treatment of waste water in the most diverse industrial sectors. Galvanic cell ...
Among other things, self-serve car washes require a solid pavement for the vehicle to stand on, which is inclined so that the water poured /sprayed onto the vehicle can drain away. The new prefabricated are designed to be used as the pavement under ...
Technologybased inRancho Cucamonga, CALIFORNIA (USA)
ACT provides an extensive line of specialty chemicals, services, equipment, for water and industrial process treatment. Since its creation, industrial companies have depended on ACT to help maximize results in many operating areas of their ...
The safe solution to both cleaning system deposits, and stemming the deterioration of galvanized coatings, is to implement the 'Zinc-Loc' Program developed by the ACT Research and Development Field Studies Team. Zinc-Loc is the only pH controlled ...
Technologybased inSaskatoon, ALBERTA (CANADA)
Active AgriScience Inc. provides advanced technological solutions to the global agricultural sector, specializing in seed treatments, foliar nutrients, and nitrogen stabilizer products. Their offerings are centered around innovative liquid ...
